胶质瘤患者的福音—荧光素钠术中荧光显像辅助切除脑胶质瘤
发布时间:2016-01-04 浏览量:3023
科学表明, 脑胶质瘤在颅内浸润性生长,术中肿瘤边界不易确定,既往切除范围多依靠术者经验,在显微镜下根据肿瘤颜色和质地的不同来判断边界。随着神经导航的应用对病变范围的确认有很大的帮助,但由于术中脑移位和术中磁共振应用限制,如何确认切除范围仍需要寻找一种实时显像肿瘤的方法。随着荧光显微镜的普及,光敏药物可以在肿瘤部位伴随血液运行而高浓度积聚,使用特定波长的光线照射肿瘤部位,恶性肿瘤随即产生荧光,根据荧光的强度来确定肿瘤的边界,以提高肿瘤的清除率,减少肿瘤残余,降低肿瘤复发率。
病例报告:
手术过程如下:
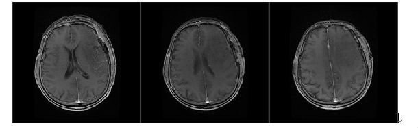
术后3天复查MRI,无肿瘤残余。
( 转载 )
病例报告:
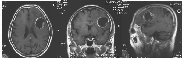
患者为老年男性,因“头痛伴言语不清2周”入院。神经功能障碍主要表现为运动性失语。术前头颅MRI提示:左侧额下回运动性语言功能区的囊性占位,呈环形强化,周边有广泛水肿,左侧侧脑室轻度受压。

手术过程如下:
1.切开硬膜后,皮层表面未见到明显肿瘤组织,但在荧光下发现额下回后部皮层深部可见隐约的淡黄色荧光,提示肿瘤所在部位。

2.切开蛛网膜后,向深部分离,切开囊壁,可见淡黄色囊液流出。囊液本身在荧光下无显影。

3.吸除部分囊液后,可见肿瘤浅部和深部囊壁均呈绿色荧光染色。
4. 沿着肿瘤周边水肿带分离肿瘤前后内外侧边界,并不断切换荧光显像,观察有无荧光染色组织,进而确认边界肿瘤是否切除彻底。
5.在分离肿瘤边界后荧光显像明显变淡,考虑与肿瘤血供切断有关。

6.肿瘤完全切除后,瘤腔未见肿瘤绿色荧光显影。
术后3天复查MRI,无肿瘤残余。
总结:根据荧光的强度来确定肿瘤的边界,以显著提高肿瘤的清除率,减少肿瘤残余,降低肿瘤复发率,通过这一临床验证将成为广大患者的福音。
( 转载 )

